أطقم الأسنان الكاملة

يتم أطقم الأسنان الكاملة صنعه بعد إزالة الأسنان وبدء شفاء أنسجة أللثة، وهو طقم أسنان تقليدي

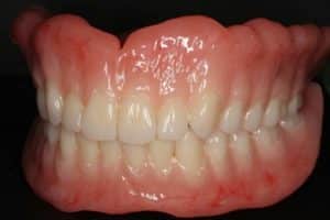
طقم الأسنان الكامل هو بديل قابل للإزالة للتكملة لكامل الأسنان ألمفقودة. وهي مصنوعة من ريزنج الأكريليك. يعد تصنيع أطقم الأسنان الكاملة إجراءً معقدًا وحساسًا للتقنية، ويتم تنفيذه بدقة في أف أم أس بواسطة فريق ألتعويضات السنية ألمتخصص لدينا

أطقم الأسنان ألكاملة

تشمل طرق علاج الأسنان الكاملة المتوفرة في أف أم أس ما يلي

طقم أسنان الأكريليك كامل: ألتقليدي وفوري

أطقم الأسنان (BPS) (النظام التعويضي ألوظيفي الحيوي)

 
يتم إعطاء أطقم أسنان ألكاملة بعد فقدان/إزالة جميع الأسنان. لذلك، من الأفضل أن يبدأ ألعلاج فقط بعد شفاء الأنسجة بشكل جيد. ولكن، في بعض الحالات، بسبب المخاوف الاجتماعية والجمالية، قد لا يتمكن المريض من المرور بمرحلة بدون أسنان. لذلك، في مثل هذه الحالات، مع الأخذ في الاعتبار متطلبات المرضى، يمكن تركيب طقم أسنان فوري مباشرة بعد إزالة الأسنان الأمامية

أطقم الأسنان الكاملة يمكن أن يكون إما “تقليدية” أو “فورية”. يتم صنع طقم الأسنان ألتقليدي بعد إزالة الأسنان وبدء شفاء أنسجة أللثة، ويكون جاهزًا لوضعه في الفم بعد حوالي ثمانية إلى 12 أسبوعًا من إزالة الأسنان

على عكس أطقم الأسنان ألتقليدية، يتم تصنيع طقم الأسنان ألفورية مسبقًا ويمكن وضعها بمجرد إزالة الأسنان. ونتيجة لذلك، لا يجب أن يكون مرتديها بدون أسنان خلال فترة ألشفاء. ومع ذلك، تتقلص ألعظام واللثة بمرور ألوقت، خاصة خلال فترة ألشفاء بعد إزالة الأسنان. لذلك فإن عيب طقم الأسنان الفورية مقارنة بأطقم الأسنان ألتقليدية هو أنها تتطلب ألمزيد من التعديلات لتتناسب بشكل صحيح أثناء عملية ألشفاء ويجب عمومًا اعتبارها حلاً مؤقتًا فقط حتى يمكن صنع طقم أسنان ألتقليدية

احتفظت بالزرع الزائد

هل أنت مرشح لطقم الأسنان ألكاملة؟؟

الأسئلة ألشائعة

 

  • لماذا يجب علينا ارتداء أطقم الأسنان الكاملة؟
  • كيف يتم صنع أطقم الأسنان؟
  • كيف تبدو أطقم الأسنان الجديدة؟
  • هل ستجعلني أطقم الأسنان أبدو مختلفًا؟
  • هل سيكون تناول الطعام باستخدام أطقم الأسنان الجديدة أمرًا صعبًا؟
  • هل ستغير أطقم الأسنان طريقة كلامي؟
  • هل يتم ارتداء أطقم الأسنان 24 ساعة في اليوم؟
  • هل يجب علي استخدام لاصق طقم الأسنان؟
  • متى لا ينبغي النظر في المواد اللاصقة لأطقم الأسنان؟
  • كيف يتم تطبيق المواد اللاصقة للأسنان؟
  • ما هي أنواع المواد اللاصقة لأطقم الأسنان؟ هل المواد اللاصقة لأطقم الأسنان آمنة؟
  • هل هناك بدائل لأطقم الأسنان؟

 

استبدال الأسنان ألمفقودة يعزز صحة فمك وصحتك العامة ومظهرك. تعمل أطقم الأسنان أيضًا على تحسين قدرة الشخص على ألتحدث وتناول الطعام

لماذا يجب علينا ارتداء أطقم الأسنان ألكاملة؟

كيف يتم صنع أطقم الأسنان؟

تستغرق عملية تطوير طقم الأسنان من 6 إلى 7 مواعيد. بمجرد أن يحدد أخصائي ألتعويضات السنية نوع الجهاز الذي يناسبك بشكل أفضل، فإن ألخطوات ألعامة هي

  1. قم بعمل سلسلة من الانطباعات الأولية وألنهائية عن فكك وقم بقياس كيفية ارتباط فكيك ببعضهما البعض ومدى ألمسافة بينهما
  2. سيتم تصنيع النماذج و/أو أنماط الشمع و/أو الأنماط البلاستيكية بالشكل والموضع الدقيقين لمجموعة الأسنان. سوف “تجرب” هذا النموذج وسيتم تقييم طقم الأسنان من حيث اللون والشكل والملاءمة قبل معالجة طقم الأسنان النهائي
  3. صب طقم أسنان ألنهائي
  4. سيتم إجراء ألتعديلات حسب ألضرورة
  5. استدعاء وتقييم طقم الأسنان

تم تصميم أطقم الأسنان لتشبه أسنانك الطبيعية إلى حد كبير، لذا فهي ستعزز شخصيتك العامة وتحسن ابتسامتك وتبنيك بمزيد من الثقة

سيتطلب تناول الطعام باستخدام أطقم أسنان جديدة ألقليل من ألممارسة وقد يكون غير مريح لبعض مرتديها لبضعة أسابيع. سوف يرشدك أخصائي تعويضات السنية خلال هذه المرحلة

قد تبدو أطقم الأسنان الجديدة غريبة بعض الشيء أو فضفاضة لبضعة أسابيع حتى تتعلم عضلات الخدين وتماسكها كيفية إبقائها في مكانها وتشعر بالراحة عند إدخالها وإزالتها. أيضًا، ليس من غير ألمعتاد أن يحدث تهيج أو وجع بسيط وأن يزداد تدفق اللعاب عند البدء في ارتداء أطقم الأسنان لأول مرة، ولكن هذه المشاكل سوف تتضاءل مع ضبط ألفم

بعد الحصول على أطقم الأسنان، قد تجد صعوبة في نطق كلمات معينة. إذا كان الأمر كذلك، فتدرب على قول الكلمات الصعبة بصوت عالٍ. مع الممارسة ومع الوقت سوف تعتاد على التحدث بشكل صحيح مع أطقم الأسنان

سيرشدك طبيب الأسنان أو أخصائي التعويضات السنية إلى المدة ألتي يجب أن ترتدي فيها أطقم الأسنان ومتى يجب إزالتها. سيتم إجراء تعديلات طفيفة خلال موعد ألفحص الأول، وبعد ذلك يجب عليك إزالة أطقم الأسنان قبل ألذهاب إلى ألسرير. وهذا يسمح لأنسجة اللثة بالراحة ويسمح بالتحفيز ألطبيعي وألتطهير عن طريق أللسان واللعاب. يمكن وضع طقم الأسنان مرة أخرى في ألصباح

يمكن ألتفكير في استخدام لاصق طقم الأسنان في ألحالات التالية

  1. لتعزيز ألرضا عن طقم الأسنان ألمصمم بشكل صحيح. تعمل ألمواد اللاصقة على تعزيز الاحتفاظ والاستقرار وقوة العض وإحساس ألفرد بالأمان
  2. لمساعدة الأفراد ألذين يعانون من حالات جفاف الفم التي تكون أقل ألتزامًا بالأسنان، مثل الأفراد ألذين يتناولون أدوية ألبرد، والأشخاص الذين يعانون من إعاقات عصبية بما في ذلك السكتات ألدماغية، وكبار ألسن
  3. لتوفير المزيد من الاستقرار والأمان لأولئك الذين يضعون متطلبات غير عادية على عضلات الوجه، مثل المتحدثين العامين أو الموسيقيين

هناك حالات لا ينبغي فيها استخدام ألمواد أللاصقة للأسنان. وتشمل هذه ألحالات

  1. عندما يتم استخدامه كـ “إصلاح” لأطقم الأسنان غير الملائمة أو سيئة الصنع. إذا بدأت أطقم الأسنان تشعر بالارتخاء، أو تسببت في عدم الراحة أو تسببت في ظهور تقرحات، فاتصل بطبيب أسنانك في أقرب وقت ممكن
  2. عندما لا يقوم طبيب الأسنان بتقييم أطقم الأسنان لفترة طويلة. ترتكز أطقم الأسنان على أنسجة أللثة وعظم ألفك، والتي تتقلص وتتدهور، على توالي، مع مرور ألوقت. لذلك، قد تكون المشكلة ألحقيقية هي ألحاجة إلى تعديل طقم أسنان أو طقم أسنان جديد
  3. عندما لا يمكن الحفاظ على ممارسات نظافة الفم
  4. عند وجود أي حساسية معروفة لمكونات المادة اللاصقة

فيما يلي بعض النصائح ألتي يجب مراعاتها عند تطبيق المواد أللاصقة للأسنان

  1. قم بتوزيع المادة أللاصقة بالتساوي على ألسطح ألحامل للأنسجة في طقم الأسنان
  2. قم بالتطبيق أو إعادة التقديم عند ألضرورة لتوفير ألتأثير المطلوب
  3. قم دائمًا بوضع ألمادة أللاصقة على طقم أسنان نظيف تمامًا
  4. تذكر أن ألمواد اللاصقة تعمل بشكل أفضل مع طقم أسنان مناسب

نعم، يمكن استخدام زراعة الأسنان لدعم ألجسور الأسمنتية، مما يلغي ألحاجة إلى طقم أسنان. عادة ما تكون التكلفة أكبر، لكن ألغرسات والجسور تشبه إلى حد كبير ملمس الأسنان ألحقيقية. أصبحت زراعة الأسنان بديلاً لأطقم الأسنان ولكن ليس ألجميع مرشحًا للزراعة. استشر طبيب أسنانك للحصول على ألمشورة

لأية استفسارات، تحدث إلى قسم ألتعويضات ألسنية