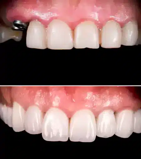
إن استبدال سن واحد بزراعة الأسنان هو الحل الدائم الأفضل للأسنان المفقودة. بعد وضع الزرعة في الفك، لاستبدال أو محاكاة الجذر، يتم تثبيت تاج الأسنان فوقها
تعد زراعة الأسنان ذات السن الواحد في الهند أفضل حل دائم نسبيًا لاستبدال الأسنان المفقودة مقارنة بالخيارات التقليدية مثل جسر الأسنان أو طقم أسنان جزئي قابل للإزالة
– فحص عام وشفوي شامل
– الأشعة السينية أو مسح الأسنان الرباعي (الشعاع المخروطي المقطعي)
– فحص صحة اللثة والإطباق

هل أنت مرشح لزراعة الأسنان؟
– تم اختيار غرسة تيتانيوم ذات أبعاد مناسبة
– وضع دقيق ودقيق داخل العظم (في المساحة المفقودة من السن)
– الوضع الصحيح أمر بالغ الأهمية لنجاح هذا الإجراء
يتم تصنيع التاج الخزفي ليتناسب مع لون أسنانك المجاورة. تم تصميم هذا خصيصًا ليناسب مساحة الأسنان المفقودة تمامًا، مع قضمة مثالية
مع زراعة الأسان من قبل المتخصصين في أف أم أس، يجب أن تتوقع أن تبدو الأسنان الجديدة وتعمل وتدوم مثل الأسنان الطبيعية. اعتني به بنفس الطريقة التي تعتني بها بأسنانك الطبيعية، من خلال تنظيف الأسنان بالفرشاة والخيط والفحوصات المنتظمة، للحفاظ على صحة السن وأنسجة اللثة المحيطة به
لذلك يجب دائمًا إعطاء الأولوية لاستبدال سن واحد بزراعة الأسنان، قبل التاج والجسور التقليدية، وأطقم الأسنان القابلة للإزالة وما إلى ذلك
مركز اف ام اس الدولي لطب الأسنان – عيادة زراعة الأسنان المتقدمة
باب رقم 8-2-293/82/A/725 الطريق، رقم 37، طريق هايتك سيتي، بالقرب من فندق داسبالا، مستعمرة سي بي آي، جوبيلي هيلز، حيدر أباد، تيلانجانا 500033
مستشفى اف ام اس لطب الأسنان
الطابق الثاني، أبراج براناف تيج، رقم H. 1، 111/3/ب، جاتشيبولي – طريق ميابور، مقابل. مستشفى KIMS، فوق بنك HDFC، هانومان ناجار، كوندابور، تيلانجانا 500084، الهند
مستشفى اف ام اس لطب الأسنان
MIG 155، مجمع KPR، طريق رقم 1، فوق بنك الدولة الهندي، كوكاتبالي، حيدر أباد، تيلانجانا 500072، الهند
مركز اف ام اس الدولي لطب الأسنان
ساحة MKS، مقابل. أوبيرون مول، إن إتش بايباس، باديفاتوم، إدابالي، كوتشي، كيرالا 682024، الهند